It just takes a few minutes to book a visit online.
It just takes a few minutes to book a visit online.
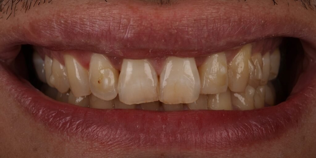
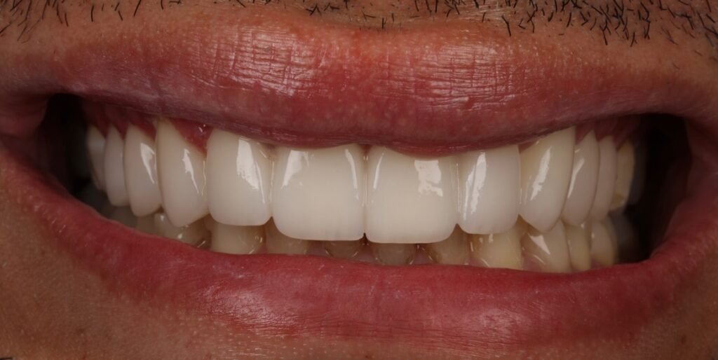
Your smile is one of the first things people notice—and even small imperfections can make a big difference in how confident you feel. Composite bonding is a quick, minimally invasive cosmetic treatment that enhances the shape, size, and color of your teeth, giving you a more balanced, beautiful smile.
Unlike veneers or crowns, composite bonding does not require significant alteration of your natural teeth. A tooth-colored resin is carefully sculpted and bonded directly onto your tooth’s surface, blending flawlessly with your smile. This makes it an ideal solution for fixing chips, closing small gaps, reshaping uneven teeth, or covering stubborn discoloration.
At our Dubai clinic, composite bonding is a popular choice for patients who want immediate, natural-looking results without complex procedures. Whether as a stand-alone cosmetic fix or part of a larger smile makeover, composite bonding offers a fast and effective way to achieve the confident smile you’ve always wanted.
We will always take the time to listen carefully to exactly what you want to achieve from your new smile, before identifying your treatment plan.












Not all composite bonding treatments are the same. During your initial consultation, our Dubai cosmetic dentists will explain the different options and recommend the best approach for your smile goals. For example, some patients may need minor bonding to fix a small chip, while others may benefit from reshaping multiple teeth for a more even and symmetrical smile. Composite bonding can also be combined with other cosmetic treatments to complete your smile makeover.



EXCELLENT Based on 74 reviews Posted on mai suchiTrustindex verifies that the original source of the review is Google. I had an accident whilst on holiday that left my teeth in a very rough state, I was very lucky to find Dr Dehal and his team to help me restore my smile. I am incredibly grateful for all the assistance and kindness the whole team have showed me from the start, they have been so understanding, cost effective and just great vibes to be around! The skillset that Dr Parv has is just unmatched, really the best in the game!!Posted on Pav KoonerTrustindex verifies that the original source of the review is Google. Had an amazing composite bond done highly recommendPosted on Nicky ChanaTrustindex verifies that the original source of the review is Google. Dr Parveen provided me with the best dental care experience I have had till now. Professional, courteous, friendly, and extremely kind staff. Thank youPosted on NICOLE CAICEDO MONTILLATrustindex verifies that the original source of the review is Google. Was such an amazing experience, the service and the procedure was the best, I’m very happy with the results , I highly recommend the Dr and his clinic.Posted on Paul InstrellTrustindex verifies that the original source of the review is Google. In the past, I’d been told by various dentists that my case was a lost cause. That was until I met Dr Dehal. He listened, took my case seriously and came up with treatment options. He soon persuaded me to take the option that would take longer but have a bigger impact; and boy am I glad I did that! The process itself felt like partnership, where both parties wanted the same outcome, making the journey engaging, fun and ultimately rewarding. Dr Dehal and his team have transformed my smile and I would recommend anyone, regardless of the condition, to meet Dr Dehal for a consultation.Posted on Harkirat DoleTrustindex verifies that the original source of the review is Google. Dr Parveen has been my dentist recently found him and his been great with my teeth and has made me rest assure and makes me feel comfortable when I’m in the dentist chair and is gentle and calm.Posted on Simmi SimmiTrustindex verifies that the original source of the review is Google. Thankyou so much..I highly recommend Dr. Dehal for any dental issues. After visiting 4-5 dentists in London for a major problem, I finally found Dr.Parv, and he truly is a blessing. Not only is his service excellent, but his treatment of patients is exceptional—words can’t describe how great he is. His staff is also fantastic. Truly I can say Dr. Dehal is a top-notch Dentist in London.Posted on L ATrustindex verifies that the original source of the review is Google. I would recommend Dr Dehal and his team without any hesitation. The quality of dental care is exceptional and the team are so caring!Posted on NTrustindex verifies that the original source of the review is Google. Would definitely recommend, had my Invisalign with some bonding done with Dr Dehal and I'm so happy with my smile transformation! The results are better than I hoped and the whole process was very straightforward. I felt Dr Dehal was very attentive, making sure that each step of the process was going smoothly and listening to any concerns I might have had :)Posted on Simone BrodrickTrustindex verifies that the original source of the review is Google. I’m currently on my Invisalign journey with Dr.Parveen, both he and Jasmine have been lovely throughout the process, always creating a relaxing and inviting environment without compromising their professionalism. He is the only dentist who has listened and treated each individual concern. I now look forward to my dentist appointments and can’t wait to see my end results!